

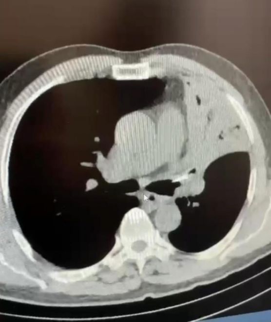
Edinilen bilgiye göre, Düzce’nin Cumayeri ilçesinde yaşayan Mehmet Salih Fer, uzun süredir devam eden öksürük ve şiddetli ağrı şikayetiyle AİBÜ İzzet Baysal Eğitim ve Araştırma Hastanesi’ne gitti. Fer’in yapılan muayenesinde sol akciğerine lades kemiği saplandığı tespit edildi. Fer’in 5 yıl boyunca akciğerinde saplanmış halde bulunan lades kemiği yapılan ameliyatla alındı. Sağlığına kavuşan Fer, yapılan son kontrollerinin ardından taburcu edildi.

5 yıl boyunca öksürük, şiddetli ağrı sırtında yanma şikayetleri bulunduğunu ifade eden Mehmet Salih Fer, “Aynı şikayetlerle hastanelere gittim, muayenelerim yapıldı, filmler çekildi. Sık sık enfeksiyon geçiriyordum, farklı farklı tanılar konuldu ve ilaç tedavileri başlatıldı. Ancak hiçbir sonuç alamadım ve şikayetlerim devam etti. Son olarak İzzet Baysal Eğitim ve Araştırma Hastanesi Göğüs Cerrahisi kliniğine geldim. Burada doktorlarım tarafından muayenelerim ve tetkik işlemlerim yapıldı. Neticede sol akciğerimde yaklaşık 5 senedir bir lades kemiği ile yaşadığımı öğrendim” dedi.
